NASHVILLE, Tenn. (WTVF) — Some mammograms may detect enlarged lymph nodes after women get the COVID-19 vaccine.
As women get vaccinated and then get a mammogram, it was initially sparking false positives. However, it’s common for lymph nodes to react to vaccines. "This is a normal response of your immune system," Dr. Reagan Leverett said.
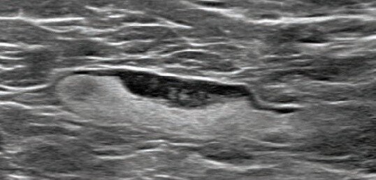
When women are getting screened for breast cancer, lymph node issues can point to cancer spread in some cases.
Dr. Reagan Leverett is the Vanderbilt Breast Imaging Medical Director. She's asking patients to wait 4 to 6 weeks after their second COVID-19 shot to get a mammogram.
"If it is just a screening mammogram you can definitely wait, if you are on the other hand having some sort of problem that you’re coming to get a mammogram for, then you should probably go ahead and come," Leverett said.
There are follow-up tests they can do to see if lymph nodes are abnormal from something else.

"So what happens is, if they come for a screening mammogram and they do see lymph nodes that are enlarged, then we will call them back from that screening mammogram more than likely for an ultrasound," Leverett said.
During the pandemic, some women were postponing their mammograms if they were self-isolating. So now, some clinics are playing catch up. Leverett said, "We’re booked out, usually a couple months for screening mammograms."
Dr. Leverett hopes to raise awareness about how vaccines impact lymph nodes to prevent any scares. "We’re just trying to let everybody know if you can wait, or get it prior to the vaccination, it’s probably the best idea, that way it doesn’t create that anxiety," Leverett said.
 
         
    
         
     
 
            
            
            